• 首页
  • 手机上买球下什么apple08、cc介绍
  • 产品展示
  • 新闻动态
  • 新闻动态你的位置:手机上买球下什么apple08、cc > 新闻动态 > 惊了!女子胃里取出18cm牙刷!紧急提醒→

    惊了!女子胃里取出18cm牙刷!紧急提醒→

    发布日期:2025-03-09 03:07    点击次数:98
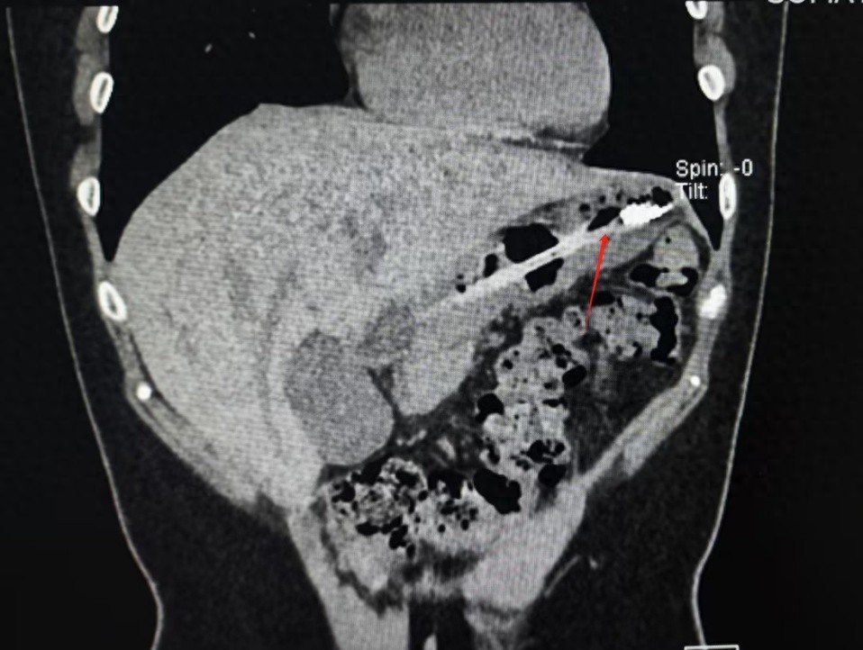
    近日,游客小李(化名)到成都旅游,每天几顿不重样的体验成都美食。结果,因为反复的暴饮暴食,小李感觉胃胀、胃痛、反酸、打嗝,出现了明显消化不良的表现,同时大量进食也让她产生了深深的身材焦虑。随后小李选择了催吐来缓解胃不适和长胖焦虑。为效果更好,该女子用一次性牙刷作为工具,结果手打滑,18cm长牙刷顺着咽喉直接滑了下去。幸运的是,由于女子就医及时,在医生的帮助下牙刷顺利取出,并未对胃壁造成严重的损伤。医生表示,牙刷这种异物掉入胃中并不常见,而且牙刷的硬度和形状可能会对胃壁造成划伤、穿孔等损伤,还好患者来得及时,如果牙刷继续掉入肠道,还可能引起肠梗阻等严重后果。图:胃中取出的牙刷网友惊呆:那也不能催吐吧?维尼:少吃点不就对了吗?又节约钱,对身体又好,重点还不长胖。搜罗超可爱:她这不是想轻轻吐一点,是想吐干净,好可怕。戒酒撒娇:这种心态我懂,猪瘾发作后又后悔,但是催吐真的很伤身体。养乐多跑:把一次性牙刷当作催吐工具,这…催吐的代价,到底有多沉重?当下,有不少人受到网络上不良信息的影响,以瘦为美,为了减肥常错误、滥用催吐。此前媒体曾报道过,在电商平台上,半米长的聚氯乙烯软管,被称作“仙女管”、“兔兔管”。卖家表示需要将催吐管插进胃里50cm,使食物顺着管子吐出来,平均1个月可瘦超过5公斤且使用无异物感,相对手动催吐无副作用,但当记者询问有无相关检验资质证明时,商家表示无法提供。事实上,催吐对人体的身心健康危害极大:进食障碍诊治专家陈珏教授称,催吐行为对健康存在重大危害,会损伤食道、牙齿、腮腺、唾液腺、胰腺等部位,造成体内电解质紊乱、心率失常,出现抽搐、休克、癫痫发作等严重后果,甚至心脏骤停导致死亡。另外,据复旦大学附属儿科医院心理科表示:催吐严重者会引起心理扭曲,因为滥用催吐而患厌食症,丧失生活自理和工作能力。例如,美国模特Jeremy Gillitzer,因为职业要求不得不控制饮食,但是自己又压抑不了食欲,于是就选择了催吐的方式。渐渐,他的身体承受不了折腾,患上了厌食症,年仅38岁去世,当时体重只有39公斤。来源: 第一现场&壹深圳

    Powered by 手机上买球下什么apple08、cc @2013-2022 RSS地图 HTML地图